Pdf Perdarahan Subarachnoid
Subarachnoid Hemorrhage (SAH) (A type of Hemorrhagic Stroke) A Guide for Patients and Families in the Neurosurgery Intensive Care Unit. Department of Neurosurgery.
SUBARACHNOID HEMORRHAGE I. PENDAHULUAN Perdarahan subaraknoid adalah perdarahan tiba-tiba ke dalam rongga diantara otak dan selaput otak (rongga subaraknoid).
Columbia University

Perdarahan subarachnoid merupakan penemuan yang sering pada trauma kepala akibat dari yang paling sering adalah robeknya pembuluh darah leptomeningeal pada vertex di mana terjadi pergerakan otak yang besar sebagai dampak, atau pada sedikit kasus, akibat rupturnya pembuluh darah serebral major. Pasien yang mampu bertahan dari pendarahan subarachoid kadang mengalami adhessi anachnoid, obstruksi aliran cairan cerebrospinal dan hidrocepalus.
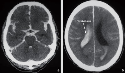
Cedera intrkarnial yang lain kadang juga dapat terjadi.(6) Perdarahan subarachnoid, dapat diidentifikasi pada CT-scan sebagai jaringan dengan densitas tinggi (40 – 90 Hu). Menggantikan cairan serebrospinal di interhemisfer atau fissura silvii, sulcus cerebral atau sisterna basalis. Jika pendarahan subarachnoid luas maka bentuk arah infundibulum atau cabang arteri karotis pada sisterna nampak sebagai filing deffect pada darah intrasisternal yang hiperdens. Meskipun pemeriksaan CT-scan sangat akurat untuk mendeteksi pendarahan subarachnoid yang baru untuk mengetahui adanya darah disubarachnoid di interhemisferik falxcerebri yang relatif memiliki densitas dan sulit dideteksi. Blog ini bukanlah kumpulan wahyu Ilahiah ataupun kebenaran ilmiah yang tak dapat terbantahkan. Di beberapa postingan bisa saja terselip racun atau sampah yang dapat merusak hidup Anda.
Jika ada tulisan atau postingan kami yang mengganggu, mencederai, atau melanggar hukum, segera saja ajukan keberatan Anda ke kolom artikel tersebut atau ke email kami di skyunhasatyahoo.com. Kami akan berusaha melakukan revisi atau menanggapi keluhan tersebut sesegera mungkin. Namun jangan pernah mengharapkan respon secepat kilat, kami bukanlah The Flash ataupun Quicksilver.
Jangan pernah meminta materi kuliah karena kami juga bukan dosen yang bertugas untuk mencerdaskan anak bangsa. Kami hanyalah penulis bebas yang tak ingin dipersulit oleh berbagai permintaan dan keinginan yang fana dari manusia-manusia di luar sana. Harap maklum. Terimakasih atas perhatian Anda.